Deutsche Tageszeitung - Un ver qui parasite les serpents découvert dans le cerveau d'une Australienne

Un ver qui parasite les serpents découvert dans le cerveau d'une Australienne


Un ver qui parasite les serpents découvert dans le cerveau d'une Australienne
Un ver qui parasite les serpents découvert dans le cerveau d'une Australienne / Photo: © Université nationale australienne/AFP

Un ver rond, qui parasite généralement les serpents, a été découvert pour la première fois sur un être humain, extrait "vivant et se tortillant" du cerveau d'une Australienne lors d'une intervention chirurgicale, ont annoncé mardi des médecins australiens.

Taille du texte:

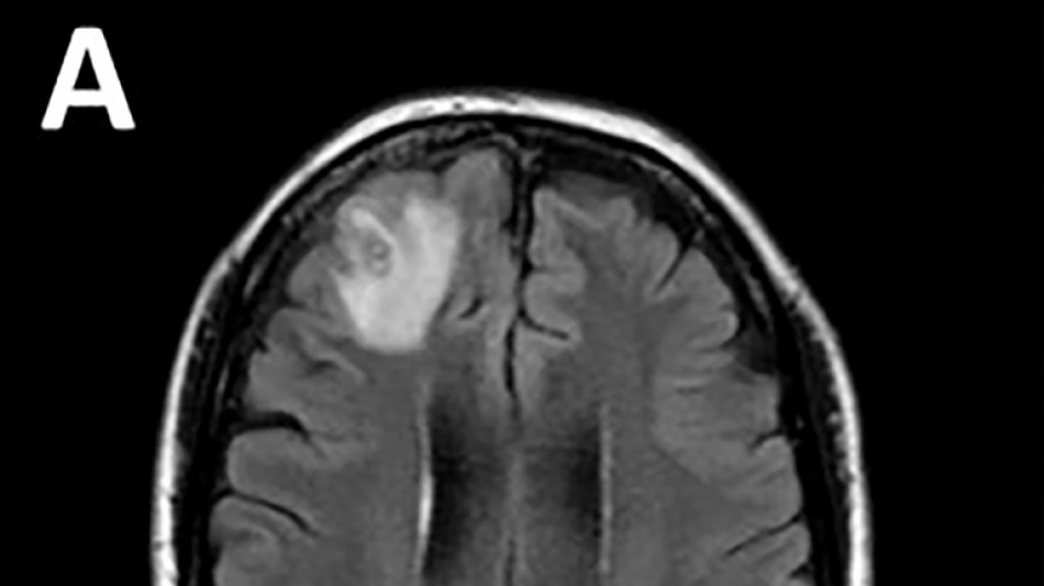
Les médecins ont découvert une "lésion atypique", grâce à un examen IRM, dans la partie frontale du cerveau de l'Australienne, âgée de 64 ans, qui souffrait de pertes de mémoire.

Il s'agissait d'un Ophidascaris robertsi, un ver rond de huit centimètres qui, selon les chercheurs, est un parasite des kangourous et des pythons, en Australie. Il parasite des animaux dans d'autres régions du monde, mais il n'avait encore jamais été détecté sur un être humain.

"Il s'agit du tout premier cas humain d'Ophidascaris décrit dans le monde", a déclaré le docteur Sanjaya Senanayake, spécialiste des maladies infectieuses.

"À notre connaissance, c'est également le premier cas impliquant le cerveau d'une espèce de mammifère, humaine ou autre", a-t-il précisé.

Cette découverte a fait l'objet d'un article dans la revue "Emerging Infectious Diseases".

Les scientifiques pensent que l'Australienne a été parasitée par des plantes comestibles, probablement contaminées par des larves présentes dans des excréments de serpents.

Le parasite, dont la "structure en forme de fil" est apparue sur les scanners cérébraux, a ensuite été identifié grâce à des tests ADN.

"Il n'est jamais facile ni souhaitable d'être le premier à être malade de quoi que ce soit au monde", a ajouté le Dr Senanayake, "je ne saurais trop exprimer notre admiration pour cette femme, qui a fait preuve de patience et de courage tout au long de ce processus."

Selon le Dr Senanayake, il est "probable que d'autres cas soient identifiés à l'avenir".

(M.Dorokhin--DTZ)

En vedette

France: nouveaux rappels de lait infantile après le resserrement de la règlementation

De nouveaux rappels de laitinfantile ont été annoncés lundi en France, où le seuil limite est désormais plus strict pour la toxine céréulide à l'origine de précédents rappels, tandis que l'agence sanitaire européenne vient également de durcir sa réglementation.

Nouveaux rappels de lait infantile en France, après l'abaissement du seuil pour la toxine incriminée

De nouveaux rappels de lait infantile ont été annoncés lundi, après l'abaissement en France du seuil pour la toxine responsable de rappels de boîtes dans plus de 60 pays, et alors que l'agence sanitaire européenne doit rendre son avis dans la journée.

Lait infantile: Popote et Vitagermine (Babybio) rappellent des lots en France, invoquant l'abaissement du seuil pour la toxine incriminée

Les marques Popote et Vitagermine (Babybio) ont annoncé lundi le rappel de lots de lait infantile 1er âge en France, en raison de l'abaissement annoncé par le ministère de l'Agriculture du seuil pour la toxine céréulide responsable de rappels de boîtes dans plus de 60 pays.

Les traitements à la testostérone, un boom dopé par les réseaux sociaux

Encouragés par influenceurs et publicités vantant leurs effets bénéfiques sur le dynamisme ou la libido, de plus en plus d'hommes se lancent dans des traitements pour doper leur testostérone, souvent sans justification médicale, selon des médecins interrogés par l'AFP.

Taille du texte: